Tüm kapalı anevrizma tedavi yöntemleri, hastanın kafatası açılmadan damar içinden uygulanır. Endovasküler anevrizma tedavisi, kullanılan malzeme ve uygulanan teknik açısından değişik yöntemlerle gerçekleştirilir. Kapalı tedavi yöntemlerinden hasta için en uygun olanı, anevrizmanın boyutu, anevrizmanın damarlarla olan ilişkisi, anevrizmanın kanayıp / kanamamış olması, hastanın yaşı, gibi faktörler göz önüne alınarak seçilir ve uygulanır.
Koil ile kapalı anevrizma tedavisi
Tüm kapalı anevrizma tedavileri, hasta genel anestezi ile uyutularak gerçekleştirilir. Kapalı anevrizma tedavisinin tüm aşamaları, bacak atardamarı içine yerleştirilen 2 mm çaplı (kurşun kalemden daha ince) bir özel kateter yoluyla uygulanır. Bu küçük giriş noktasından damar içine çok ince (0.5mm çapında) ve yumuşak yapıda mikrokateter adını verdiğimiz özel plastik tüp gönderilir. Anevrizmayı kapatmak için kullandığımız bu mikrokateter, anjiografi cihazında izlenerek anevrizmanın bulunduğu damar içine yönlendirilir. İçi boş, çok ince ve yumuşak bir plastik tüp şeklinde olan mikrokateterin ucu, anevrizma kesesi içine yerleştirilir. Daha sonra bu mikrokateter içerisinden gönderilen platinden yapılmış çok yumuşak “koil” adı verilen tellerle anevrizma kesesi doldurulur. Koiller, anevrizma kesesi içinde bir yumak oluşturup, anevrizma içine kan girişini engeller. Anevrizma kesesi, koillerle tamamen doldurulup, anevrizma içine kan girişi tam olarak durduğu zaman, mikrokateter anevrizma içinden geri alınarak işlem tamamlanır. Anevrizmanın koil adı verilen özel tellerle doldurularak kapatılma işlemine, "koilleme" adı verilir. Anevrizmanın koillenerek kapatılması işlemi, oldukça güvenli ve etkili bir tedavi yöntemidir. Kanamamış beyin anevrizması olan hasta, koilleme yöntemi ile tedavi edildikten 1-2 gün sonra hasta normal günlük yaşamına dönebilir.
Stent yardımlı koilleme ile kapalı anevrizma tedavisi
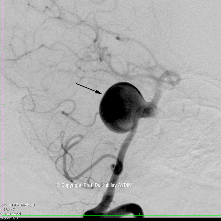
Anevrizma kesesinin damarla birliştiği noktasına, “anevrizmanın boynu” denir. Boynu geniş olan anevrizmaların tedavisinde, anevrizma içine konulacak koillerin, anadamar içine sarkmaması için yardımcı cihazlar kullanmak gerekebilir. Geniş boyunlu anevrizmaların koillenmesi sırasında özel yapıda balonlar veya stentler (metal kafes) kullanmak gerekebilir.
Geniş boyunlu anevrizmaların stent kullanılarak koillerle kapatılması işlemine “stent-yardımlı koilleme” adını veriyoruz. Bu işlemin ilk aşamasında anevrizmanın boynunu örtecek şekilde damar içine bir metal kafes (stent) yerleştirilerek, bir sonraki aşamada anevrizma kesesi içine konulan koillerin damar içine sarkması önlenir. Yani, burada stentin görevi, anevrizma içine doldurduğumuz koil adı verilen tellerin, damar içine sarkmasını önlemektir. Stent-yardımlı koilleme, geniş boyunlu anevrizmaların kapalı yöntemle tedavisinde tercih edilen bir yöntemdir.
Yaptığımız bilimsel araştırmalar sonucunda, stentlerin kan akımını yönlendirici etkilerinin de olduğu ve stentlerin bu özellikleri sayesinde tedavi edilen geniş boyunlu anevrizmaların tekrar oluşmasını engelleyebildiğini saptadık (Aydin Kubilay, et al. American journal of Neuroradiology 2015;36:1934-1941). Hızlı akan bir nehir üzerine kurulmuş baraj seti gibi, stentler de kan akımının anevrizma içine basınçla ulaşmasını engeller ve kapatılan anevrizmanın tekrar açılmasını önler. Günümüzde, çok geniş boyunlu ve bir çok damarın içinden çıktığı en kompleks anevrizmaları dahi, stent yardımlı koilleme tekniği uygulayarak başarıyla tedavi edebiliyoruz. Anevrizma tedavisinde kullandığımız stentler, damar duvarına zarar vermeyecek şekilde yumuşak yapıda ve vücud ile tam uyumlu, ileri teknoloji ile üretilmiş cihazlardır.
Stent yardımlı koilleme tekniği ile anevrizma tedavisinde, anevrizmanın yerleştiği atardamar içerisine stent açılması için bir kateter yerleştirilir. Eş zamanlı olarak, anevrizma kesesi içerisine koilleme amaçlı farklı bir kateter yerleştilir. Damar içerisine bir stent açıldıktan sonra, anevrizma içerisideki kateterden gönderilen platinden yapılmış çok yumuşak yapıda koillerle anevrizma kesesi doldurulur. Stent, anevrizma içeriside bırakılan koillerin damar içine sarkmasına engel olur. Koilleme işlemine, anevrizma koillerle tamamen doldurulana ve anevrizma içine kan girmeyene kadar devam edilir.
Balon yardımlı koilleme ile kapalı anevrizma tedavisi
Geniş boyunlu anevrizmaların endovasküler tedavisinde kullanılan diğer bir yöntem "Balon-yardımlı koilleme" dir. Bu yöntemde anevrizma içine konulan koillerin damar içine sarkması, damar içinde çok kısa bir süre için şişirilen balon kateteri yardımıyla engellenir. Damar içinde şişik vaziyetki balon, anevrizma kesesi içine yerleştirilen koillerin damar içine sarkmasını önler. Koil, uygun şekilde yerleştirildikten sonra balon söndürülür. Bu işlem anevrizma tamamen dolduruluncaya kadar tekrarlanır.
Akım yönlendirici stent ile kapalı anevrizma tedavisi
Akım yönledirme tekniği, diğer bir kapalı anevrizma tedavi yöntemidir. Bu teknikte, diğer yöntemlerden farklı olarak, anevrizma koillerle doldurulmaz. Bu yöntemde, anevrizmanın bulunduğu damar içine kan akımını yönlendirme yeteneğine sahip özel stentler yerleştirilir. Bu stentlere “akım çevrici stentler” adını veriyoruz. Akım çevrici stentler, çok sık örgü yapısına sahip metal kafeslerdir. Akım çevrici stentlerin duvarında diğer stentlere oranla çok daha az sayıda gözenek, daha fazla metal tel bulunmaktadır. Bu yapısal özellikleri sayesinde akım çevirici stentler, damar içindeki kan akımını yeniden yönlendirebilme yeteneğine sahiptirler.
Hızla akan bir nehir yatağının, beton bir setle farklı bir yere yönlendirilmesi gibi, akım çevirici stentler de, kan akımını yönledirirler. Bu yöntemde, stent öncesinde anevrizma kesesi içine doğru olan kan akımı, stent tarafından damar içine yönlendirilir. Akım çevrici stent, nehir üzerine kurulmuş bir baraj seti gibi, damar içinde akan kanın anevrizma içine girmesini engeller. Bu şekilde anevrizma içine giren kan akımını azaltılıp ve kısa süre içinde tamamen durur. İçindeki kan akımı ciddi düzeyde azalan anevrizma, pıhtılaşarak küçülür ve kısa süre içinde yok olur. Son 4-5 yıl öncesine kadar tedavisi imkansız veya çok riski olarak kabul edilen anevrizmaları bile, günümüzde akım çevirici stentler sayesinde yüksek başarı oranlarıyla tedavi edebiliyoruz.



















